뇌종양은 최악의 경우, 죽음에 이를 수도 있는 무서운 질병입니다. 뇌종양의 초기 증상은 알기 쉽고 처음부터 뚜렷한 증상이 나타나는 경우가 많기 때문에 조기 발견이 회복의 열쇠를 쥐고 있습니다. 이번 포스팅은 뇌종양 초기증상으로 자주 나타나는 증상에 대해서 알아보도록 하겠습니다.
순서
1. 뇌종양 증상의 조기발견의 중요성
2. 뇌종양 초기증상
3. 뇌종양 초기증상 자가진단
4. 뇌종양 초기증상 및 자가진단 정리
뇌종양 초기증상/자가진단
1. 뇌종양 초기증상의 조기발견의 중요성
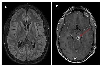
뇌종양은 두개골 안쪽에서 발생하는 종양의 통칭입니다. 뇌종양에는 2종류가 있는데, 폐암 등이 전이되는 '전이성'과 뇌세포나 신경 등에서 발생하는 '원전성'으로 나눌 수 있습니다. 어린이부터 노인까지 다양한 연령대에 발생할 수 있고, 양성과 악성으로 나눌 수 있습니다.
뇌종양이라고 들으면 '더 이상 살 수 없다'거나 '죽음으로 직결된다'는 등 무서운 이미지가 떠오르겠지만, 조기에 발견해서 적절하게 치료를 하면 나을 가능성도 충분히 있다고 합니다. 뇌종양은 초기증상이 나타나는 경우가 많이 있습니다. 갑자기 증상을 자각하고 급격하게 발병한다기보다는 초기증상부터 시작해 종양이 커짐에 따라 서서히 진행된다고 합니다.
뇌종양은 종양이 발생한 부위나 크기에 따라 일상생활이 어려워지거나 생명에 지장을 줄 수 있습니다. 그래서 초기증상을 계속 간과하고 방치하는 것은 매우 위험합니다. 초기 증상을 빨리 깨닫고 적절하게 대처하는 것이 중요합니다.
이 초기 증상에는 뇌종양으로 인해 머릿속 압력이 상승함으로써 일어나는 두개내압항진 증상과 신경을 관장하는 부위에 종양이 생기는 국소 신경학적 증상', 그리고 뇌의 일부가 이상 흥분을 일으키면서 발생하는 경련(경련, 간질) 발작이 있습니다.
2. 뇌종양 초기증상
뇌종양의 초기증상은 비교적 알기 쉽지만, 자주 발생할 수 있는 가벼운 질병과 혼동될 수 있다고도 합니다. 뇌종양의 초기증상으로 자주 나타나는 증상들에 대해서 살펴보도록 하겠습니다.






1) 두통
두통은 종양의 발생이나 종양이 커짐에 따라, 두개 내 압력이 높아진 두개내압항진으로 인한 통증, 그리고, 통증을 느끼는 조직(수막이나 혈관 등)에 얽혀, 그것들이 뒤틀리거나 견인되어 자극을 받고 국소 통증을 느끼는 부분의 자극으로 인한 통증이 있습니다.
그중에서도 이른 아침이나 기상 시에 강한 통증이 있으며, 특히 막 일어났을 때 가장 통증이 심하고 낮 시간대가 되면서 서서히 누그러지는 경우, 두개내압항진에 동반되는 통증이 특징적이라고 합니다.
진행되면 가슴의 따끔거림이나 메스꺼움 등을 동반하게 되며 두통도 지속적이고 만성이 됩니다. 그러나, 두통이 발생했다고 해서 반드시 뇌종양이라고는 할 수 없습니다. 두통의 원인은 다양하기 때문에 두통만으로 뇌종양이라고 판단하는 것은 시기상조입니다.
2) 구토, 메스꺼움
뇌종양으로 인한 구토는 '두개내압항진 증상'으로 인한 것과 뇌종양이 뇌간부나 그 근처 소뇌에 있는 '구토 중추 자극’으로 인한 경우가 있습니다. 이것은 두통과 동반되어 많이 나타나는 증상으로, 두개골 내부의 압력이 높아짐에 따라 발생하는 두통과 원인이 같기 때문입니다.
뇌 내 압력이 높아져서 발생하는 구토는 별다른 메스꺼움이 없더라도 갑자기 분출하듯 구토를 하는 것이 특징입니다. 토를 하면 뇌압이 떨어지기 때문에 직후에는 즉시 깨끗하게 회복되어 '분출성 구토', '방사성 구토'라고 불리며, 두통 등의 호소를 제대로 전달하지 못하는 소아에게는 중요한 증상이 됩니다.
3) 눈과 시력과 관련된 증상
뇌종양이 시신경이나 그 주변에 생겨 눈 주의를 압박하여, 시력이 저하되거나 시야가 한정되면서 안구의 움직임이 나빠져 어긋남이 생기고 물건이 이중으로 보이는 경우(복시), 그리고, 두개내압항진으로 인해 눈앞에 안개가 낀 것처럼 선명하게 보이지 않게 되는 경우가 있습니다. 모두 안경이나 콘택트렌즈로 교정할 수 있는 것은 아니기 때문에 이러한 증상이 무엇을 해도 개선되지 않는 경우에는 뇌종양일 가능성이 있습니다.



4) 어지럼증(현기증)
어지럼증이라고 한마디로 말해도 여러 가지 증상이 있습니다. 예를 들어, 벽이나 천장이 회전하는 것처럼 느끼는 현기증, 붕 떠있는 것 같은 현기증(부유감), 앉았다가 일어섰을 때 느끼는 현기증 등 몇 가지 종류가 있습니다.
뇌종양으로 인한 어지럼증은 벽이나 천장 등 주변의 물건이 빙글빙글 도는 것처럼 느끼는 경우가 많습니다. 붕 떠있는 느낌이나 일어섰을 때 느끼는 어지럼증은 허혈이나 빈혈로 인해 일어나는 경우가 많기 때문에 다른 질병을 의심하는 것이 좋습니다.



5) 혀가 잘 돌지 않는다
말이 나오지 않는 실어증이나 혀가 잘 돌지 않는 구음 장애 등의 증상은 뇌종양 때문일 가능성이 있습니다. 이것들은 언어 중추에 뇌종양이 생긴 경우에 발생합니다. 실어증의 경우, 사람의 목소리는 들리는데 뜻을 이해하지 못하는 감각성 실어와 하고 싶은 말이 있는데 말로 꺼내지 못하는 운동성 실어 두 종류가 있습니다. 평소처럼 대화를 하려고 해도 뜻대로 의사소통이 안 되는 경우가 많아졌을 때는 뇌종양 초기 증상일 수 있다고 합니다.
6) 손발이나 얼굴의 운동 마비 증상
뇌 안의 운동 신경 섬유가 장애를 받으면 운동 마비가 생깁니다. 오른쪽 뇌가 장애가 되면 왼쪽 반신 마비가 일어납니다. 손이나 다리만 마비되는 증상은 뇌종양의 경우에는 그다지 많지 않고 한쪽 팔다리를 포함하는 경우가 많은 것 같습니다.
척수와 말초 신경 장애는 손발 증상이 다른 경우도 있습니다. 얼굴까지 포함되면 완전히 대뇌반구 질환이라는 것을 알 수 있습니다. 혀가 잘 돌아가지 않는 경우에도 안면이나 혀를 움직이는 운동신경 마비일 수 있습니다.
7) 뇌전증(간질) 발작 증상
뇌종양이 발생하게 되면 다양한 간질 발작이 발생할 수 있다고 합니다. 경련을 일으킬 수 있는 데, 뇌종양으로 인해 발생하는 간질을 증후성(후천성) 뇌전증이라고 합니다. 전신의 근육, 혹은, 한쪽만 경련을 일으키고, 경직될 수도 있습니다.



이러한 뇌종양으로 인한 전환 증상은 특히 전두엽의 운동 영역에 종양이 발생한 경우에 나타날 수 있는 것으로 알려져 있습니다. 성인이 되고 나서 처음 간질 발작을 일으킨 경우에는 뇌종양일 가능성이 높기 때문에 검사를 하여 제대로 원인을 조사하는 것이 좋습니다.
8) 아기와 어린이의 뇌종양 증상
뇌종양은 어른만의 것이 아니라 아기나 아이에게도 일어나는 질병입니다. 소아암으로 인한 뇌종양은 어린이 사망 원인으로 가장 많고 생명에 많은 지장을 초래하는 중대한 질병입니다. 어린이의 경우도 초기증상은 어른과 마찬가지로 두통이나 메스꺼움 등이 발생하지만 나이가 어릴수록 자신이 느끼는 괴로움을 잘 표현하지 못해 보호자가 초기증상을 놓칠 수 있습니다.



또한, 종양이 생기는 부위에 따라, 말을 잘하지 못하거나 이해하지 못하는 등의 증상이 생길 수 있는데 발달에 관한 문제로 착각할 수도 있습니다. 아기나 어린이 뇌종양의 경우, 전문의의 진찰은 물론 필요하지만 항상 함께 있는 보호자가 주의 깊게 그 모습이나 증상을 관찰할 필요가 있습니다.
3. 뇌종양 초기증상 및 자가진단
아래에 해당되는 것이 많을수록 뇌종양일 가능성이 높을 것입니다.
□ 만성적인 두통이 계속되고, 특히 기상 시에 통증이 심하다.
□ 원인 불명의 메스꺼움이나 구토가 있다.
□ 말을 꺼내기 어렵다, 혀가 잘 돌지 않는다 등, 생각처럼 말을 하지 못하는 경우가 늘었다.
□ 시력이 저하되었다.
□ 눈앞이 항상 뿌옇게 보인다.
□ 소리나 말소리가 잘 들리지 않게 되었다.
□ 취했을 때와 같은 휘청거림이 있다.
□ 손 저림을 느낄 수 있다.
□ 사람이 변한 것 같다고 가족이나 친구에게 들었다.
4. 뇌종양 초기증상/자가진단 정리
뇌종양의 초기증상으로, 가장 알기 쉬운 것은 두통과 메스꺼움입니다. 다만, 이것들은 감기 등의 증상으로도 자주 나타나기 때문에 간과할 수도 있습니다. 뇌종양의 경우는 시각이나 청각, 후각 등에 이상을 느낄 수도 있기 때문에 분명히 평소와 다르다는 것을 느끼면 즉시 전문의에게 진찰을 받아봅니다.
※ 상기의 글, ‘뇌종양 초기증상/자가진단’은 개인이 조사하여 정리한 글로, 사실과 다를 수 있습니다.
오른쪽 머리 통증 원인 질병 9가지
두통이 오른쪽 머리에서만 발생하는 경우가 있습니다. 오른쪽 머리에 두통이 있어서 푹 쉬기가 어렵다거나, 오른쪽 머리만 따끔따끔 아프거나 심한 통증이 계속되는 등, 오른쪽 머리 통증의 원
osylyj.tistory.com
일과성 뇌허혈발작 원인, 뇌경색 전조
일과성 뇌허혈발작은 일시적으로 뇌로의 혈류가 저하됨에 따라, 저림이나 어지러움, 운동장애, 언어장애 등, 뇌경색과 같은 증상을 일으키는 질병입니다. 증상은 보통 1시간 이내에 가라앉고,
osylyj.tistory.com
두통 원인, 경증과 중증
두통의 원인은 다양하여, 자연스럽게 가라앉는 경증부터 드물지만 생명과 관계되는 질병이 숨어있는 중증인 경우도 있습니다. 따라서, 두통에 대해 올바른 지식을 가지는 것이 가장 중요합니다
osylyj.tistory.com
'헬스' 카테고리의 다른 글
혈당 낮추는 방법-당뇨약/장내 환경 (0) | 2025.03.22 |
---|---|
불면증 증상/원인/치료/수면제 (0) | 2025.03.21 |
갑상선암 증상, 검사/진단 (0) | 2025.03.19 |
대장암 증상과 치료방법(수술) (0) | 2025.02.28 |
십이지장궤양 증상/원인/치료 (0) | 2025.02.27 |
댓글